Manuel Campos Guareño
.

    Espartinas 18 Julio 07

    Torero y muy buen amigo de este equipo, que acude a nuestra enfermería aquejado de gran dolor en cuello con molestias y dolor en miembro superior derecho de carácter agudo que muchos días le imposibilitan su vida normal.

    Ha acudido con anterioridad a su centro habitual de mantenimiento físico donde le aplican diversas técnicas fisio terapéuticas con escaso resultado y sin estudios complementarios.

    El cuadro tiene varios meses de evolución y según el torero comenzó hace mucho como consecuencia a cogida de toro con caída al albero “de mala manera” con el cuello en hiper extensión.

.
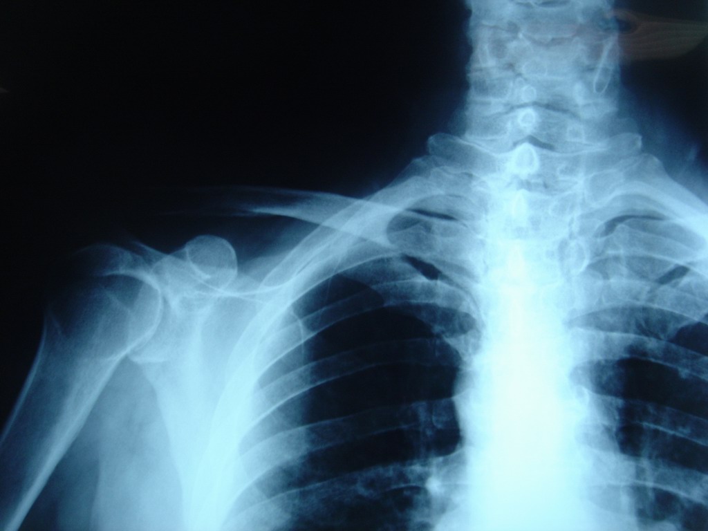
campito1
.
campito2
.

    En las radiografías se advierten cambios degenerativos consecutivos a su edad y los repetidos traumatismos que sufren los toreros tanto en su mantenimiento físico como en los accidentes del ruedo.

    Obsérvese el desalineamiento de las apófisis espinosas, los osteofitos, etc.

    Se pide estudio por Resonancia magnética de cuello y citamos al diestro ya retirado para revisión.

    Diagnóstico.  Artrosis cervical

.
campto3
.

    D. Manuel Campos    nos visita.

    Drs. José Ma Aparicio y Morales M.
    Sevilla Julio 19 07