Plaza de Toros de Osuna |
|
| . | |
| . | |
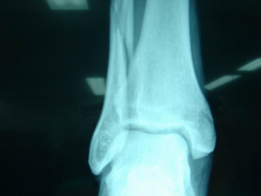
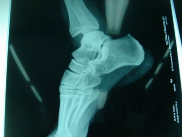
13 -5 -07 Durante el tercio de banderillas, de la lidia del 5º toro, ingresó en esta enfermería y fue asistido D. Pablo Hermoso de Mendoza de las lesiones que a continuación se especifican: Posible fractura 1/3 distal miembro inferior izquierdo con posibles afectación de tibia y peroné. Constantes normales. Miembro inestable, no dolor excesivo, ni frialdad distal, riego sanguíneo distal conservado, se inmoviliza con férula neumática y se traslada bajo control médico a clínica Sagrado Corazón de Sevilla. Pronóstico grave. Dr. D. Raúl Morales Maruri. |
|
| . | |
![]() |
|
| . | |
![]() |
![]() |
| . | |
![]() |
![]() |
| . | |
![]() |
|
14 - 5 - 07 El torero se interviene hoy a la 12,30 horas en la Clínica Sagrado Corazón de Sevilla. Se confirma diagnóstico provisional hecho en la enfermería de la plaza de Osuna. Fractura de tibia y peroné. Con las siguientes connotaciones: La fractura de peroné es completa y compleja consta de 4 fragmentos diferentes con desplazamiento de los mismos. es decir una fractura conminuta. La tibia presenta fractura maleolar con desplazamiento y además con respecto al tobillo existe una subluxación de la articulación debida a la rotura o explosión de la cápsula articular con desflecamiento de la misma. En resumen un cuadro complejo de tobillo inestable que precisa intervención quirúrgica inmediata. Se estabilizan las fracturas, se sutura la cápsula anterior, se reduce la subuxación, se administran factores de crecimiento y se inmoviliza extremidad. Pronóstico grave. Se estima un tiempo de recuperación de 90 días. Dr. Minguet. Dr. Periañez. Dr. Vaz. Dr. Morales |
|
| . | |
![]() |
![]() |
| , | |
![]() |
![]() |
| ,.. | |
![]() |
![]() |
. |
|
![]() |
![]() |
| . | |
| . | |
15 de Mayo 2007 Parte de evolución D. Pablo Hermoso de Menoza El torero pasa una noche con dolor; a base de calmantes, y con dificultad para dormir. Es de aclarar que que estos síntomas son normales en el proceso de este post operatorio. Por otro lado el paciente permanece afebril, tiene buen aspecto físico, permanece afebril y continúa en tratamiento y en reposo en la clínica Sgdo Corazón de Sevilla. |
|
| . | |
![]() |
![]() |
| . | |
Fdo. Dr Morales Maruri. Sevilla 15 de Mayo de 2007 |
|
| . | |
| . | |
16 de Mayo 2007 Parte de evolución. D. Pablo Hermoso de Mendoza. El paciente pasa buena noche. No dolor. Sigue afebril. Se advierte pronta recuperación por lo que se decide darle de alta a domicilio con tratamiento de reposo e inmovilización. El torero es revisado por los doctores Morales Maruri y Minguet. Firmado: Dr. Morales Maruri y Dr. Minguet. |
|
| . | |
![]() |
|
| . | |