Diego Ventura
.
.

    Sevilla - 8 de Agosto de 2009

    Diego Ventura

    Al entrar a matar,  entrenando en su finca de La Puebla del Río, Sevilla, sufre fuerte traumatismo por asta de toro en cara interna de rodilla derecha.

.
..

    Sufre muchas molestias al iniciar la carrera o en movimientos bruscos.

    A la exploración se manifiesta inflamación en carilla ínfero interna de la rodilla.

    Dolor a la palpación e impotencia funcional.

.
.

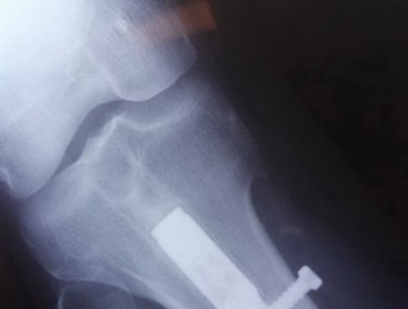
    Le realizamos estudio Rx no hallando daño aparente en el mismo. Se puede ver parte del clavo de titanio que le implantamos en la tibia a principio de la temporada 2008.

 
.

    Le instauramos tratamiento médico con antiinflamatorios, el reposo que pueda y una rodillera especial con ventana rotuliana especial para deportistas y lo revisaremos cuando busque un día para volver a Sevilla entre festejo y festejo.  

.
.

    Diagnóstico:

    Traumatismo severo rodilla derecha.

    Pronóstico leve S.C.

    Dr. Morales Maruri.