Septiembre 2001
Lesión frecuente en toreros a caballo
De Rejones.
D. José Luis Cañaveral
En un festejo de rejones nos toca atender un caballero rejoneador en lo más álgido de su temporada. Presenta una lesión que creemos compatible con Blast Injure o lesión por explotado de la zona.
En alguna ocasión anterior hemos visto algunos casos semejantes; uno de los cuales está publicado en otro caso de este mismo portal, siendo protagonista otro rejoneador.
El caso es que los rejoneadores llevan protegidas las piernas por botos o zajones y en condiciones, ambos. Sin embargo en determinado momento se produce la cogida" a lomos del caballo" y es incluso difícil de darse cuenta que se ha dado un traumatismo, pues el interesado siente el porrazo y a veces solo muestra algo parecido a una mueca de dolor.
De hecho en caliente; el rejoneador no da importancia al trauma tiene y se limita a pedir un analgésico desde el callejón. Pero mientras los minutos van pasando, la pierna aprieta con dolor que va a más y la impotencia funcional se va imponiendo, hasta que al final se presenta la claudicación del miembro.
El asunto es que tenemos que explorar en enfermería y nos encontramos con lesión cerrada dolorosa con poca inflamación, con punto especialmente doloroso y circunscrito a zona que probablemente sea la de la impronta de la punta del pitón ( que venimos llamando Sello del Pitón) y que en este caso no se manifiesta por la protección de los zajones o botos.
Después de esto tenemos la sana costumbre de inmovilizar la zona afectada y aplicar crioterapia durante 25 o 30 minutos para luego quitar los vendajes y realizar una segunda exploración, que la experiencia nos dice, nos da mucha más información al haber diseminado los componentes de la zona inflamada y haber parado el posible sangrado.
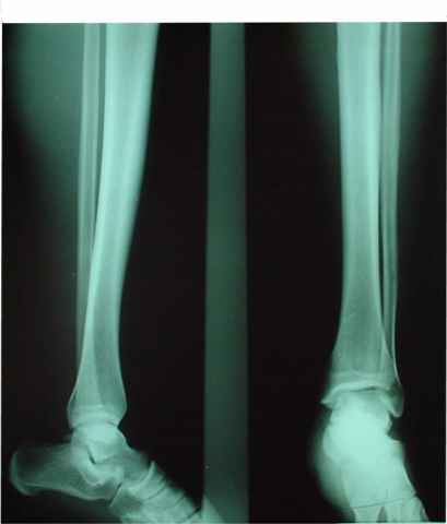
Esto es lo que podemos encontrar:

La actitud adecuada según nuestro criterio es esperar para realizar otra exploración a las 24 horas y si procede, abrir para reparar la musculatura y las aponeurosis; que probablemente están reventados.

Si esto se repara con estos criterios, la lesión sana en pocos días como una cornada abierta normal.

En el caso contrario ( lo que pasó en el caso que presentamos " por cumplir con los múltiples compromisos taurinos de la temporada") la lesión se complica y nunca llega a curar de verdad porque la musculatura y las aponeurosis que la rodean, no se repararon a tiempo, y con el pasar de los meses puede aparecer la hernia muscular.

No lesiones Óseas
Terminas encontrando al torero en otra plaza meses después y el miembro sigue con las molestias que pudieron evitarse con su reparación adecuada en el momento adecuado.
Terminas por entender que la fuerza que trasmite el cuerno a la pierna del rejoneador, (mientras más defensas encuentre entre el cuerno y el miembro) no se concentra en el punto de embroque, sino que se transmite en todas las direcciones y en realidad ejerce la acción del síndrome de aplastamiento o Blast Injure. Con la particularidad de un "reventamiento localizado" al compartimiento músculo aponeurótico donde actúe.